治療期間はどれくらい?

人によってその期間は違いますが、歯を移動するのに1~2年、 その後歯を保定(動かした歯を安定させること)するのに約2年 かかります。なかにはそれ以上の期間を必要とする場合もありま す。
このように長い期間を必要とする理由は、矯正治療が不正な関係 にある上下の顎の成長を正常な軌道にのせたり、歯の生えかわる 時期におこってくる咬み合わせの不正を正常な方向に誘導するこ とを目的としているからです。
そして顎の骨の中に植えられてい る歯をそのまわりの部分に損傷を与えないように徐々に移動する ので時間がかかるのです。
治療例 第Ⅰ・第Ⅱ期治療
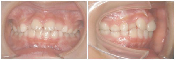
| ①主訴:前歯のでこぼこ 7歳10か月 |
第Ⅰ期治療のみ 診断名:上顎前歯叢生 治療期間:1年 |
|---|---|
| 矯正治療開始前 | ![]() |
| 矯正治療中 | ![]() |
| 矯正治療終了時 | ![]() |
第Ⅰ期治療で取り外しの装置(床矯正装置を就寝時のみ使用)を用いて前歯を並べ、顎の骨の成長を正しい軌道にのせました。
治療費:基本施術料330,000円および調節料(5,000円(来院毎))
*患者様の状態はお一人お一人異なるため、治療内容により治療結果は異なります。
*副作用・リスクとして、治療中の疼痛・歯根吸収・歯肉退縮・治療後の後戻りなどが生じる可能性があります。
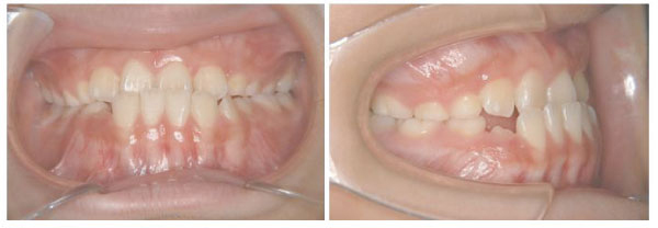
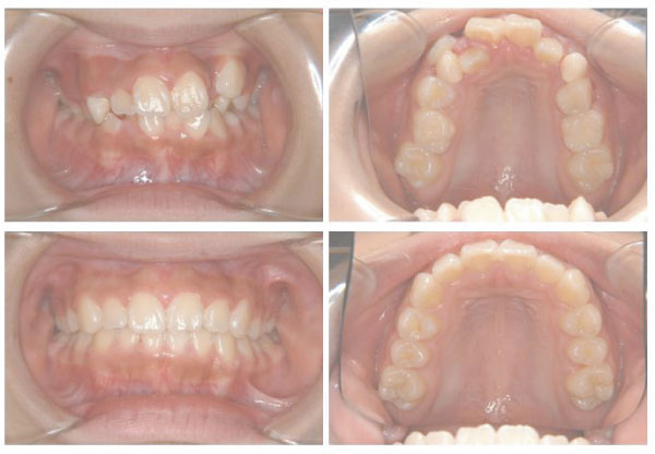
| ②主訴:前歯の反対咬合 9歳9か月 |
第Ⅰ期およびⅡ期治療 診断名:前歯反対咬合 治療期間:1年5カ月(第Ⅰ期) 7カ月(第Ⅱ期) |
|---|---|
| 矯正治療開始前 | ![]() |
| 第Ⅰ期治療終了時 | ![]() |
| 矯正治療終了時 | ![]() |
第Ⅰ期治療で取り外しの装置(上顎前方牽引装置を就寝時のみ使用)を用いて顎の骨の成長を正しく誘導した後、第Ⅱ期治療でマルチブラケット装置を用いてそれぞれの歯を並べました。
治療費:基本施術料330,000円(第Ⅰ期)、320,000円(第Ⅱ期)および調節料 (5,000円(来院毎))
*患者様の状態はお一人お一人異なるため、治療内容により治療結果は異なります。
*副作用・リスクとして、治療中の疼痛・歯根吸収・歯肉退縮・治療後の後戻りなどが生じる可能性があります。
治療例 第Ⅱ期治療
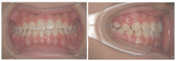
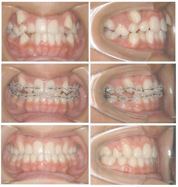
| ②主訴:前歯のでこぼこ (上下顎両側第一小臼歯抜歯) 14歳0か月 |
診断名:上下顎前歯叢生 治療期間:1年6カ月 |
|---|---|
| 矯正治療開始前 | ![]() |
| 矯正治療中 | |
| 矯正治療終了時 |
上下顎両側第一小臼歯を抜歯し、マルチブラケット装置を用いてそれぞれの歯を並べました。
治療費:基本施術料660,000円および調節料(5,000円(来院毎))
*患者様の状態はお一人お一人異なるため、治療内容により治療結果は異なります。
*副作用・リスクとして、治療中の疼痛・歯根吸収・歯肉退縮・治療後の後戻りなどが生じる可能性があります。
歯の裏側に装置をつける外側から見えない治療(舌側矯正)をご希望の場合はご相談ください。
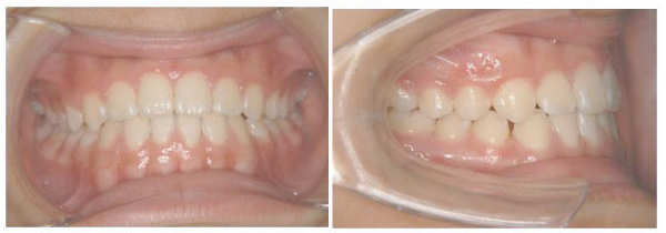
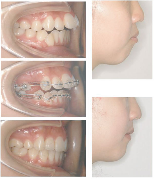
③主訴:出っ歯と口元の突出 17歳6か月 |
診断名:上顎前突 治療期間:2年1カ月 |
|---|---|
| 矯正治療開始前 | ![]() |
| 矯正治療中 | |
| 矯正治療終了時 |
上下顎両側第一小臼歯を抜歯し、マルチブラケット装置を用いてそれぞれの歯を並べ、口元が改善しました。
治療費:基本施術料660,000円および調節料(5,000円(来院毎))
*患者様の状態はお一人お一人異なるため、治療内容により治療結果は異なります。
*副作用・リスクとして、治療中の疼痛・歯根吸収・歯肉退縮・治療後の後戻りなどが生じる可能性があります。











